U.K. Girl Has Tongue Lengthened to Speak Better Korean
U.K. native Rhiannon Brooksbank has been hooked on Korean culture for some time, but hit a major snag while trying to learn the language. Despite her best efforts, she was unable to pronounce the Korean “L” sound correctly. After much frustration, the root of her problem was finally traced to a surprising location: Her own tongue.
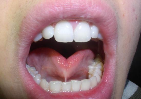
It seems that the flap of skin that connected Brooksbank’s tongue to her mouth, called the lingual frenulum, was thicker than average. This meant that her tongue was functionally shorter, which didn’t affect her English speech at all, but severely hampered her Korean. With her parent’s permission, she underwent a 15-minute frenectomy which removed some of the tissue that was holding her back.
With her tongue now 1cm longer, she’s having no trouble with the language and can now speak “with a native accent.” Considering that she’s so nuts about Korea that she attends a Korean church and hopes to one day work in the country, this is good news.
(Telegraph via Oddity Central, image via Wikipedia)
Have a tip we should know? [email protected]
